ব্রেন টিউমারে আক্রান্ত শিশু জান্নাতকে বাঁচাতে ১৬ লাখ টাকা প্রয়োজন
প্রকাশিত : ২১:৫৪, ২২ জুলাই ২০১৭ | আপডেট: ১৬:৫৫, ২৩ জুলাই ২০১৭
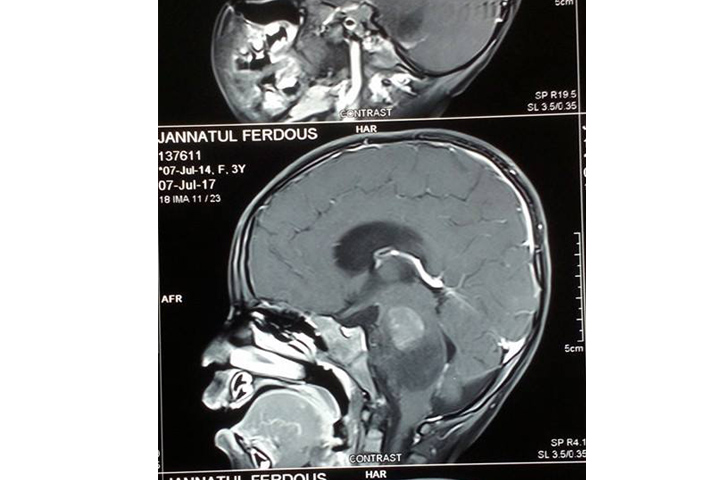
চট্টগ্রামের সন্দ্বীপ উপজেলার বাউরিয়া পৌরসভার ৬ নং ওয়ার্ডের ওয়াসিম ওসমান ও নাসরিন সুলতানার আদরের ছোট মেয়ে জান্নাতুল ফেরদৌস। যে শিশু এখনো পৃথিবী সম্পর্কে সম্যক ধারণা নেই, অথচ বাবা-মা কে প্রায়শ বলে বড় হলে ডাক্তার হবে।সেই স্বপ্ন জাগানিয়া মোহনীয় হাসির অধিকারী শিশু জান্নাত এখন ব্রেন টিউমারে আক্রান্ত হয়ে রাজধানীর বঙ্গবন্ধু শেখ মুজিব মেডিকেল বিশ্ববিদ্যালয়ের বিছানায় অসহায় হয়ে জীবন মৃত্যুর সন্ধিক্ষণে দিন কাটাচ্ছে।
তিন বছর বয়সী শিশু জান্নাত যে বয়সে মায়ের কোলে থাকার কথা,সে বয়সে নিয়তি অনিশ্চিত করে দিয়েছে তাঁর জীবন। এবছরের মে মাসে তার ব্রেন টিউমার ধরা পরে। চট্টগ্রামের ‘আগ্রাবাদ মা ও শিশু হাসপাতালে’ তার প্রাথমিক রোগ ধরা পরে। এছাড়া তাকে মেক্স হাসপাতাল, সিএসসিআর ও চট্টগ্রাম মেডিকেল কলেজ ও হাসপাতালে চিকিৎসা দেওয়া হয়।
জান্নাতের চিকিৎসার জন্য বর্তমানে রাজধানীর বঙ্গবন্ধু শেখ মুজিব মেডিকেল বিশ্ববিদ্যালয়ের নিউরো সারজিক্যাল বিভাগের চেয়ারম্যান অধ্যাপক কনক কান্তি ও অধ্যাপক ধীমান চৌধুরীর অধীনে মেডিকেল বোর্ড গঠন করা হয়েছে।
জান্নাতের চিকিৎসা সম্পর্কে অধ্যাপক ধীমান চৌধুরী জানিয়েছেন, জান্নাতের অপারেশন এখানে সম্ভব নয়। কারণ ওর টিউমারটা ব্রেনের টিস্যুর ভিতরে ছড়িয়ে পড়েছে। উন্নত চিকিৎসার জন্য দ্রুত দেশের বাহিরে নিতে হবে। এ ধরনের জটিল টিউমারের সঠিক চিকিৎসার জন্য সিঙ্গাপুরের মাউন্ট এলিজাবেথ অথবা বেঙ্গালুর সিএমসি যাবার পরামর্শ দিয়েছেন তিনি।
শিশু জান্নাতের চিকিৎসার জন্য প্রয়োজন ১৬ লাখ টাকা। পরিবারের পক্ষে এত টাকা জোগান দেয়া সম্ভব নয়। তারপরও ৪ লাখ টাকার উপরে খরচ করেছেন তার বাবা। আর এজন্য সমাজের বিত্তবান মানুষের কাছে সাহায্যের আকুল আবেদন জানিয়েছে তার পরিবার।
জান্নাতের বাবা ওয়াসিম ওসমান ইটিভি অনলাইনকে বলেন, কিছুদিন আগে মাননীয় প্রধানমন্ত্রী শিশু মুক্তামনির চিকিৎসার সকল দায়ভার নিয়েছেন, এটা দেখে আমার ভালো লেগেছে। আমার ফুটফুটে মেয়েকে বাঁচাতে দেশবাসীর কাছে আহবান জানাচ্ছি। আপনাদের একটু সহযোগিতাই জান্নাতের মুখে হাসি ফোটাতে পারে।
জান্নাতের চিকিৎসার জন্য সাহায্য পাঠাতে পারেন এই ঠিকানায়
তারেক ও জাহিদ, হিসান নং- 07312100056565, এক্সিম ব্যাংক, সন্দ্বীপ, চট্টগ্রাম।
বিকাশ নাম্বার, শিমুল- 01816861671.
কেআই/ডব্লিউএন
আরও পড়ুন










